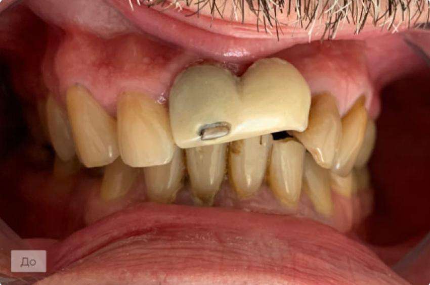
Пациент обратился с жалобами на разрушение и неудовлетворительное эстетическое состояние фронтальных зубов на верхней челюсти и отсутствие 21 зуба.
После проведенного комплексного обследования пациенту было предложено удалить старые коронки на 11 зубе и консоль на 21 зубе.
Также мы предложили изготовление виниров в области 12, 13, 33 зуба и мостовидный протез в области 11, 21, 22 зуба верхней челюсти. От установки имплантатов пациент отказался.
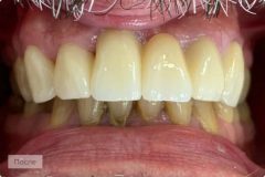
Были изготовлены виниры из материала Е-Мах (Германия), мостовидный протез из керамики на основе оксида циркона. По результатам проделанной работы можно полное восстановление разрушенных ранее зубов.


