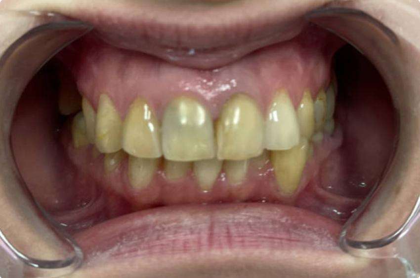
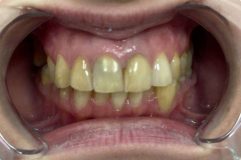
Пациент обратился с жалобами на:
- разрушение зубов верхней и нижней челюсти;
- неудовлетворительное эстетическое состояние фронтальных зубов;
- отсутствие 14 зуба.
Пациент от ортодонтического лечения брекет-системой отказался.
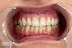
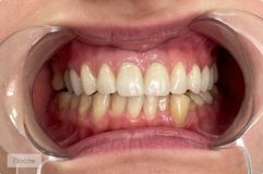
После комплекса диагностических мероприятий было принято решение установить виниры из керамики Е-мах и имплантат в области 14 зуба с коронкой из диоксида циркона.





